
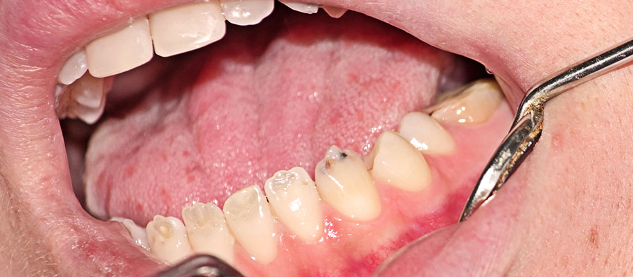
L’ipoplasia dello smalto dei denti è un problema che solo l’odontoiatra può risolvere. Si tratta di una patologia nota sia al dentista per bambini, essendo tipica dell’infanzia (dai 6 anni circa e perdura tutta la vita), sia a quello per adulti. Il disturbo consiste nella mancanza di tutto o parte dello smalto, cioè il tessuto di protezione che ricopre il dente.
L’ipoplasia, ti illumina il dentista, è determinata da uno stress metabolico avvenuto durante l’infanzia, innescato da una o più cause in grado di alterare l’attività cellulare degli ameloblasti durante la formazione dello smalto, che quindi presenta difetti e anomalie. Nei centri dentistici, tipicamente, si osserva che i denti più colpiti di solito sono gli incisivi superiori ed inferiori ed i primi molari permanenti. Tali denti presentano uno smalto di colore più scuro, oppure solchi lineari o fossette distribuite in modo irregolare sulla superficie dentale. L’ipoplasia può essere di grado severo o moderato in base alla superficie del dente coinvolto e al numero degli elementi dentari interessati.
L’ipoplasia, ti illumina il dentista, è determinata da uno stress metabolico avvenuto durante l’infanzia, innescato da una o più cause in grado di alterare l’attività cellulare degli ameloblasti durante la formazione dello smalto, che quindi presenta difetti e anomalie. Nei centri dentistici, tipicamente, si osserva che i denti più colpiti di solito sono gli incisivi superiori ed inferiori ed i primi molari permanenti. Tali denti presentano uno smalto di colore più scuro, oppure solchi lineari o fossette distribuite in modo irregolare sulla superficie dentale. L’ipoplasia può essere di grado severo o moderato in base alla superficie del dente coinvolto e al numero degli elementi dentari interessati.
Ipoplasia dello smalto dei denti: le cause
Diversi fattori possono determinare l’ipoplasia dello smalto dei denti, talora con azione concomitante. Ecco quali sono, secondo i ricercatori delle cliniche dentali che hanno studiato la patologia:- fattori genetici, che talvolta causano anche altri problemi come il morso inverso;
- traumi durante la dentizione;
- malnutrizione pre e post natale, causa di diversi problemi presenti e futuri, oltre all’ipoplasia dello smalto, ad esempio, maggiore predisposizione alla parodontite;
- malattie esantematiche (verificatesi entro i primi 3 anni di vita), ad esempio la scarlattina;
- malattie veneree;
- ipocalcemia;
- ipossia, cioè diminuzione locale o generale dell’apporto di ossigeno, ad esempio per difetti dei vasi sanguigni;
- esposizione ad agenti chimici;
- farmaci quali le tetracicline.
Ipoplasia dello smalto dentale: sintomatologia
La diagnosi da parte del dentista in zona consultato si basa su una serie di sintomi, richiedendo anche una differenziazione rispetto ad altri problemi simili, come la fluorosi. L’ipoplasia dello smalto dentale, precisamente, si manifesta tramite:- colore giallo/marrone del dente o dei denti;
- sensibilità al caldo e al freddo;
- maggiore predisposizione alla carie;
- problemi di occlusione, derivanti da una possibile asimmetria dentale.
Ipoplasia dello smalto: le soluzioni
Che fare in caso di ipoplasia dello smalto? La prima cosa naturalmente è rivolgersi a uno dei nostri specialisti, magari scegliendolo fra i dentisti convenzionati. L’odontoiatra, dopo aver valutato attentamente la situazione attraverso l’anamnesi completa e l’esame obiettivo della dentatura, saprà trovare la soluzione adeguata alla patologia. Questa potrebbe consistere in:- restauro diretto del dente (otturazione) nei casi meno gravi;
- restauro indiretto del dente (intarsi, corone, protesi) nei casi più gravi;
- desensibilizzazione e remineralizzazione del dente con prodotti specifici a base di fluoro o caseina.
Una tecnica molto innovativa ed efficace, usata dai migliori dentisti di Roma e non solo, è l’utilizzo dei laser ER:YAG che si sono dimostrati molto efficaci nell’ablazione dei tessuti dentali.
In conclusione, in caso di ipoplasia dello smalto dentale, non esitare a contattarci, penseremo noi a risolvere il tuo problema!
In conclusione, in caso di ipoplasia dello smalto dentale, non esitare a contattarci, penseremo noi a risolvere il tuo problema!
Autore

Estetica Dentale
Altri articoli
- Riparazione dente scheggiato
- Faccette Dentali per migliorare i denti in termini di forma, posizione e colore.
- Faccette dentali: cosa sono
- Lo sbiancamento dentale professionale
- Le protesi mobili flessibili in nylon Valplast
- Celebrità e denti sani: i metodi per migliorare l'estetica del sorriso
- Diastema: è solo una questione Estetica?
- Sbiancamento Denti: la guida che risponde alle tue domande
- Medicina Estetica Dentale. Migliorare il Nostro Sorriso significa Migliorare Noi Stessi!
- Denti gialli: come prevenire e curare l'inestetismo dal dentista
- Fluorosi e Denti: attenzione a questi segnali
- Ipoplasia dello smalto dei denti, le cause



Sei un paziente ?
Sei un dentista?
