
Segnalazione di Errore


Sono il Dott. Gianfranco Albergo, laureato in odontoiatria dal 1988. Lo Studio Associato di Odontoiatria che condivido con i Dr.i E.Accarisi, e M.Seri si impegna ogni giorno per assicurare ai propri pazienti terapie e trattamenti sempre aggiornati e di alta qualità. Nelle nostre sedi tutto lo staff è a disposizione per garantire cortesia e disponibilità. Oltre l'esperienza di Ricerca e Didattica Universitaria, abbiamo consolidato negli anni un rapporto medico-paziente che contraddistingue lo studio dalla realtà attuale. Dedichiamo ai nostri pazienti tutto il tempo per ascoltare prima di tutto e solo poi per proporre.
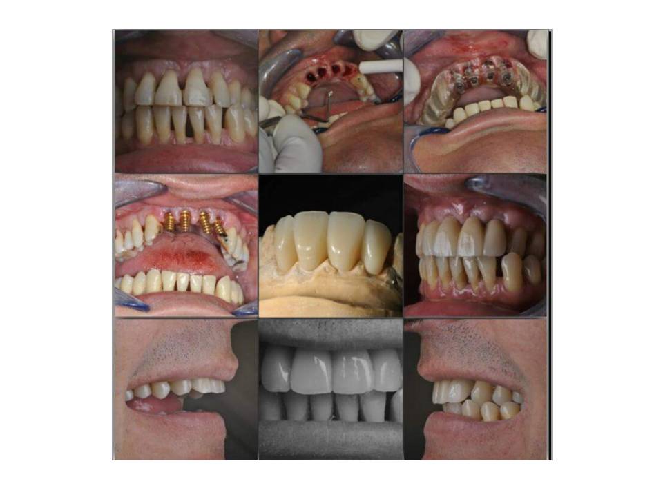
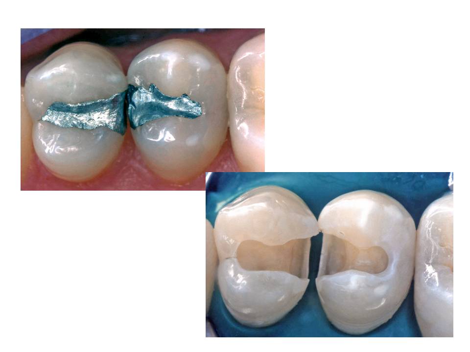
La presenza di strumentazione e materiali all'avanguardia, ci consentono terapie all'avanguardia come la chirurgia computer guidata, l'implantologia flapless, o l'utilizzo di sistemi CAD CAM per la realizzazione di protesi di alto livello. L'igiene professionale e l'ortodonzia sono coadiuvati da validi professionisti e facilitano il nostro compito per portare benessere , salute ed estetica ai nostri pazienti. La radiologia digitale ,presente nel nostro studio, consente esami radiologici come cone beam, ortopanoramica, stratigrafia ATM , esame dei seni mascellari e molto altro.
Tra le altre tecnologie disponiamo di Laser Nudimio Jag , assio-chinesiografo ed elettromiografo di superficie.
Scaricavia golametto 2 - 00195 - Roma
Visualizza mappa ingrandita

Il Dottor Albergo è un dentista fantastico, non mi sono mai sentita così tranquilla.. Lo consiglio!

E' uno studio dentistico e di igiene dentale con professionisti seri e preparati. Lo consiglio a tutti!

Mi sento vivamente di raccomandare il Dott. Albergo per la sua alta professionalità e cura.

Risultato eccellente, esperienza del tutto positiva

Chiaro, cordiale e soprattutto appassionato del proprio lavoro. Un gran professionista.

Il Dott. Albergo mi ha sempre dimostrato grande professionalità e cortesia. Lavoro svolto con precisione! Consiglio vivamente.

Quando trovi la competenza abbinata alla simpatia fa ancora più piacere pagare la fattura!!

Esperienza positiva quella fatta dal dottor Albergo. Tornerò sicuramente da lui.

Odontoiatria di fiducia di famiglia da circa 20 anni. Professionista serio e scrupoloso nel lavoro.

Senza dubbio lo consiglierò!

Ho trovato questo studio facendo una ricerca sul portale dentistaforyou. Ho scelto il dottore anche perché la convenzione dentistaforyou - 10% mi garantiva un ottimo prezzo! Così ho anche risparmiato!

Cordialità e professionalità caratteristiche che rendono meno ostile la temuta visita dal dentista!!!!

Il dottor Albergo lavora sempre con grande serietà.Consigliato!!

Si vede che il dottor Albergo lavora con passione e che gli piace davvero quello che fa. Complimenti!

Molto professionale, ma anche sul piano personale ho trovato davvero una brava persona.

Eccellenti i risultati ottenuti.

Dentista molto bravo, meticoloso e serio. Insomma un professionista a cui affidarsi con tranquillità.

Conosco il Dott. Albergo da molti anni e posso solo confermare la sua bravura e l'alta professionalità immutata nel tempo.

vedere un video di presentazione di tale portata non poteva che acquisire tutta la mia fiducia. Non e' un attore ma un vero professionista! Inutile rappresentare la struttura nella quale sono stata accolta ..stupefacente. Macchinari all'avanguardia e molto di più. Uno staff notevole e diverse le specialistiche presenti. Ho diversi problemi e dopo il check up effettuato ho una visione molto chiara. Ho iniziato ad eseguire i primi interventi per riabilitare la mia bocca in uno stato pessimo e già provo notevole sollievo. Le mie paure cominciano ad allontanarsi. Grazie a tutti alla prossima