
L’otturazione dentale è una pratica odontoiatrica conservativa, messa in atto dal dentista per la riparazione del dente danneggiato o malato al fine di scongiurarne l’estrazione.
Ogni otturazione dentale presuppone un intervento dello specialista del centro dentistico mirato alla cura del dente danneggiato, attraverso la rimozione della carie, ad esempio, ed alla sua accurata disinfezione, per prepararlo alla fase solo successiva dell’otturazione. Ovviamente, se hai cura dei denti puoi intuire come sia sempre consigliabile un intervento precoce! Ti risparmierai problemi come l’alitosi, il rischio di ascessi, la parodontite, i granulomi e la necessità di un’estrazione, con conseguente bisogno di un intervento di implantologia.
Per otturare un dente esistono infatti vari composti, dalle caratteristiche diverse che determinano durevolezza e risultati estetici differenti.A questi fattori si aggiunge anche il costo, in grado di produrre un preventivo dentista più o meno economico o salato. E’ compito dell’odontoiatra consigliare al paziente le alternative possibili per il singolo caso, illustrando pregi e difetti di ogni tipologia. L’elenco include:
Ogni otturazione dentale presuppone un intervento dello specialista del centro dentistico mirato alla cura del dente danneggiato, attraverso la rimozione della carie, ad esempio, ed alla sua accurata disinfezione, per prepararlo alla fase solo successiva dell’otturazione. Ovviamente, se hai cura dei denti puoi intuire come sia sempre consigliabile un intervento precoce! Ti risparmierai problemi come l’alitosi, il rischio di ascessi, la parodontite, i granulomi e la necessità di un’estrazione, con conseguente bisogno di un intervento di implantologia.
Otturazioni dentali: le tipologie
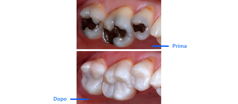
Dopo la cura della carie o la devitalizzazione le otturazioni dentali sono, insomma, un metodo molto utile per la protezione dei nostri denti. Queste possono essere di vario tipo e di vario prezzo.Per otturare un dente esistono infatti vari composti, dalle caratteristiche diverse che determinano durevolezza e risultati estetici differenti.A questi fattori si aggiunge anche il costo, in grado di produrre un preventivo dentista più o meno economico o salato. E’ compito dell’odontoiatra consigliare al paziente le alternative possibili per il singolo caso, illustrando pregi e difetti di ogni tipologia. L’elenco include:
- otturazioni in mercurio e metallo: questo tipo di otturazione viene praticata soprattutto sui denti posteriori. Consiste nell’utilizzo di un amalgama composto da mercurio e altri metalli come l’argento, il rame o lo stagno. Questo metodo assicura una apprezzabile durata nel tempo, ma ha anche una serie di svantaggi. Il primo difetto è dal punto di vista estetico perché l’otturazione ha il tipico colore metallico, quindi risulta visibile all’interno della bocca; il secondo è legato alla potenziale tossicità delle sostanze rilasciate nel tempo dall’amalgama.
- Otturazioni in composito: sono quelle otturazioni effettuate con resine bianche, pertanto molto poco invasive dal punto di vista estetico. Le otturazioni in composito, però, sono indicate solo per i restauri di piccole e medie dimensioni e soprattutto per i denti anteriori, molto meno per i molari. Il motivo è che sono meno resistenti dell’amalgama. In compenso, si adattano alla forma di qualunque alloggio: questo evita di dover ampliare la cavità all’interno del dente. Infine, lo si nota verificando il listino prezzi dentista, sono relativamente economiche.
- Otturazioni in oro: in questo tipo di otturazioni il materiale utilizzato è l’oro e, anche se il costo è molto più elevato rispetto ad altre tipologie, sono in grado di garantire una notevole durata nel tempo. Oggi sono meno utilizzate, grazie ad alternative dall’effetto estetico più naturale.
- Otturazioni in porcellana: questo tipo di otturazioni sono molto resistenti, soprattutto se alla porcellana si unisce anche il metallo (zirconio), e convenienti. Si possono paragonare a delle mini-protesi create dall’odontoiatra in laboratorio, con il supporto di impronte dentali del paziente. Il risultato estetico è eccellente.
- Intarsi in composito o in porcellana: servono a riempire perfettamente la parte mancante del dente che viene curato da carie, o in sostituzione di vecchie otturazioni in amalgama. Sono la soluzione più costosa, ma anche la più resistente, persino rispetto all’amalgama. Esteticamente rendono il dente curato simile ad uno naturale, avendo un’ottima biocompatibilità. Si preferiscono in caso di dente molto danneggiato.
Per scegliere la metodologia e il materiale più appropriato, se hai necessità di otturare un dente, rivolgiti ad un nostro dentista online! Che tu stia cercando il miglior dentista di Roma oppure dentisti convenzionati, non rimarrai deluso!
Autore

Endodonzia-Conservativa
Altri articoli
- Rimozione Amalgama: perché, quando e come si esegue l'intervento
- La Carie Dentale: cosa succede al dente, come si cura e come prevenirla
- Le otturazione Estetiche in Composito garantiscono un effetto del tutto naturale sui denti
- Devitalizzazione del dente, cos'è e come si interviene
- Granuloma, cos'è e perché occorre andare subito dal dentista
- L'Ascesso Dentale, sintomi e cure



Sei un paziente ?
Sei un dentista?
