Segnalazione di Errore

X
Questo sito fa uso di cookie per migliorare l’esperienza di navigazione degli utenti e per raccogliere informazioni sull’utilizzo del sito stesso. Utilizziamo sia cookie tecnici sia cookie di parti terze per inviare messaggi promozionali sulla base dei comportamenti degli utenti. Può conoscere i dettagli consultando la nostra privacy policy qui. Proseguendo nella navigazione si accetta l’uso dei cookie; in caso contrario è possibile abbandonare il sito.
Privacy Policy Accetta e prosegui
Sei un paziente ? Sei un dentista?

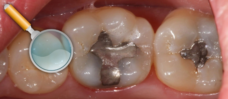
Rimozione Amalgama: perché, quando e come si esegue l'intervento

L'amalgama, diffusissimo per interventi un tempo standard, è tuttora usato da alcuni dentisti per le otturazioni ai denti posteriori. Nella comunità scientifica e odontoiatrica sono però in molti a sostenere la sua tossicità. Ecco un approfondimento sul tema.

Caratteri disponibili: su 1000

I tuoi file:
  • X
  • X
  • X
Rating Lettori | Rating attuale: 5/5 (5 voti)
Vota!
Rimuovere l’amalgama o no?
Negli ultimi anni il quesito mi è stato posto da diversi pazienti con denti otturati, preoccupati per le notizie che riportano la sua tossicità.L’amalgama in effetti è costituito per circa il 50% da mercurio, in lega con stagno, argento e altri metalli. La tossicità del mercurio è ben documentata. Riguarda sia la salute umana che l’ambiente, essendo nocivo anche per la gran parte degli altri organismi viventi.
 
Perché è stato largamente usato in odontoiatria se attualmente invece si parla di rimozione dell’amalgama? E’ presto detto: si tratta di un composto economico e facilmente lavorabile, così da consentire interventi rapidi. Inoltre leotturazioni in amalgama vantano una lunghissima durata, generalmente di diversi decenni.
 
Quanto alla sua nocività, un tempo se ne sapeva poco. Va detto poi che l’effetto tossico è dose-dipendente:   
il composto usato dai dentisti rilascia bassissime concentrazioni di mercurio, ben al di sotto della soglia di nocività stabilità dall’OMS. Attenzione però: bassissime ma non nulle, e da sommare alle altre fonti di questo metallo col quale veniamo a contatto (es. mangiare pesce…).


Amalgama e mercurio, gli effetti sull’organismo quali sono?

 Gli effetti tossici del mercurio che possono convincere della necessità di rimozione dell’amalgama erano in parte noti già nell’antichità, dato che era comune osservarne gli effetti avversi. Fino a non molti anni fa infatti questo metallo aveva molti impieghi, ben diversi da quelli che riguardano lo studio di un dentista. Vernici, termometri, coloranti, esplosivi, pile, diserbanti, estrazione di metalli preziosi… Coloro che lo lavoravano spesso ne pagavano lo scotto mostrando i sintomi da intossicazione cronica:
 
  • insufficienza renale;
  • tremorie perdita di coordinazione motoria;
  • amnesia;
  • ipertensione;
  • disturbi cardiaci;
  • ictus;
  • disfunzioni del sistema immunitario.
 
 Non stupisce che secondo le attuali normative il suo uso sia in molti casi fuorilegge, come ad esempio nei termometri e nelle lampadine! Senza contare che il mercurio richiede speciali procedure di smaltimento.
L’amalgama può intossicare l’organismo, quindi? La domanda non ha tuttora una risposta definitiva. Quello che noi odontoiatri sappiamo è che possono verificarsi allergie e che alcuni fattori possono incrementare il rilascio del mercurio dalle otturazioni. Tra gli altri, alcuni comportamenti comuni:
 
  • ingestione di alimenti/bevande acidi;
  • ingestione di cibi e liquidi molto caldi;
  • masticazione abituale di chewing-gum.
 
Poi ci sono le testimonianze di persone con gravi problemi di salute, prontamente migliorati dopo la rimozione dell’amalgama. Ne parla questo servizio delle Iene.
 
Oggi, mentre proseguono le controversie, l’amalgama è stato vietato per alcuni pazienti: non lo usa più il dentista per bambini nei ragazzi sotto ai 15 anni e l’odontoiatra endodonzista nelle donne in gravidanze o che allattano. In generale è in disuso tranne che in alcuni casi selezionati di otturazioni dei molari, esattamente quelle radicolari e sottogengivali. Per le altre s’impiegano resine composite in grado di garantire una resa estetica ottimale e nessuna tossicità, pur a fronte di una durata inferiore.
 

Rimozione dell’amalgama, ecco come deve svolgersi

 La rimozione dell’amalgama dentale è sempre obbligatoria in caso di fratture,scheggiature, infiltrazioni cariose, estrazioni dentali. Risulta invece a scelta del paziente nel caso sia attuata come prevenzione verso gli effetti tossici del mercurio oppure per ragioni estetiche. Io la consiglio vivamente: è la procedura che ho adottato io stesso per me e la mia famiglia. Molti fra i migliori dentisti che conosco hanno preso analoga decisione. Quanto alla spesa da sostenere, è possibile risparmiare per esempio scegliendo un dentista convenzionato e pagamenti rateizzati, abbinando convenzionie rate alla qualità del servizio che non deve mai mancare.
 
L’intervento di rimozione richiede l’adesione a un protocollo idoneo a salvaguardare il paziente. Un intervento eseguito correttamente limita l’inalazione dei vapori tossici di mercurio e impedisce l’ingestione accidentale di frammenti di amalgama così come l’assorbimento trans-mucoso da parte dell’assistito; protegge inoltre dall’esposizione l’odontoiatra e l’assistente alla poltrona.
Nota bene che il protocollo protettivo è obbligatorio e non facoltativo: attenzione ai dentisti che per risparmiare o fare più in fretta non lo applicano. Altrimenti la procedura diventa dannosa anziché protettiva!
 
La preparazione corretta del paziente richiede l’utilizzo di grembiule di plastica, cuffia e visiera per limitare le superfici esposte al contatto con i metalli dell’amalgama. Intorno al dente da trattare viene posta una diga in gomma che isola l’area dell’intervento. Durante l’operazione di rimozione il professionista del centro dentistico deve evitare per quanto possibile il riscaldamento dell’amalgama, che comporterebbe una maggiore emissione di vapori tossici. Per farlo la tecnica utilizzata prevede l’impiego di un irrigatore e ovviamente, in contemporanea, di un aspiratore periorale a 2 canali conseparatore di amalgama.
 
La rimozione dell’amalgama dovrebbe avvenire in blocco, perché i frammenti sono più difficili da rimuovere. La manovra di disincastonamento monoblocco d’altro canto può comportare la perdita di una porzione di dente sano, in particolare se eseguita da mani inesperte. Per questo è fondamentalescegliere un dentista esperto e professionale, in grado di conciliare nel migliore dei modi le 2 diverse esigenze di protezione del dente e del paziente. Terminata la rimozione dell’amalgama l’odontoiatra deve verificare di aver eliminato tutti i frammenti, che altrimenti finirebbero ingeriti dall’assistito.
 
Vuoi avere la certezza di affidare la rimozione dell’amalgama a un dentista davvero bravo e onesto? La soluzione c’è, prenota una visita sul nostro sito contattando un professionista che “ci mette la faccia”, magari dopo aver letto le recensioni dei pazienti! Perché noi siamo convinti che l’unico metodo per fidelizzare i pazienti siano la serietà e la migliore qualità possibile del servizio, senza trucchi. E i risultati ci danno ragione.