
La prima cosa da fare quindi è rivedere le tue abitudini relative all’igiene orale e, se il problema persiste, contatta immediatamente un dentista a Roma per risolvere il problema con interventi di chirurgia gengivale.
Le cause principali delle gengive ritirate
Come spiegano i migliori dentisti Roma le gengive ritirate generalmente si manifestano negli adulti con un’età superiore ai 40 anni, ma in alcuni casi possono presentarsi anche in età adolescenziale. La cattiva igiene orale, come l’errato spazzolamento, è una delle cause principali di questa patologia; tuttavia, ne esistono tante altre di natura eziologica. Sono le seguenti:- il bruxismo, cioè la tendenza a digrignare i denti anche inconsapevolmente, un fenomeno che si accentua soprattutto in presenza di stress e tensioni;
- i denti storti, le malocclusioni, l’affollamento dei denti e la gengivite;
- la parodontite, un’infezione batterica che può portare alla caduta del dente, è sia una causa sia una conseguenza di questa patologia;
- lo scorbuto, una malattia da grave carenza di vitamina C;
- il piercing in prossimità del labbro o della lingua, perché il continuo sfregamento delle gengive contro di esso può provocare disturbi gravi;
- malattie ereditarie gengivali.
Sintomi e conseguenze delle gengive ritirate
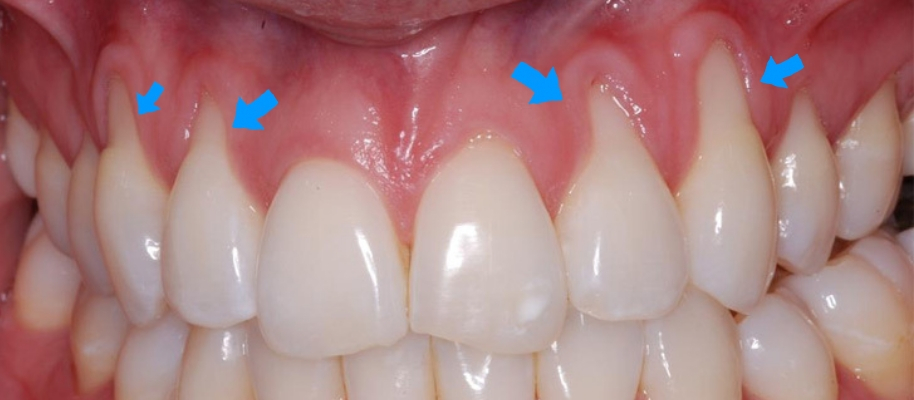
La recessione gengivale è un processo che si manifesta gradualmente nel tempo e non improvvisamente. I sintomi sono rappresentati da un progressivo ingiallimento dei denti, che risultano particolarmente sensibili ai cibi freddi, agli acidi ed agli zuccheri. L’ipersensibilità dentinalepotrebbe provocare anche maggiori disturbi al dente del giudizio ed agli altri denti in generale, spingendoti a spazzolare meno intensamente per alleviare il fastidio. Si innesta così un circolo vizioso che favorisce la formazione e la proliferazione dei batteri nel tuo cavo orale, causa principale della formazione di placca e tartaro che possono portare alle carie. La retrazione gengivale può provocare problemi anche molto fastidiosi come l’alitosi o le gengive sanguinanti, gonfie ed arrossate. Aumentano anche le difficoltà masticatorie e nei casi più gravi c’è il rischio di perdere il dente.Anche da un punto di vista estetico si palesano inestetismi piuttosto antipatici. I denti appaiono più lunghi, mentre le radici dentali sono più visibili ed esposte. Il colore dei denti tende ad ingiallirsi, una situazione imbarazzante che può rendere il tuo sorriso meno smagliante. Negli stadi più avanzati la recessione gengivale può provocare lo spostamento e addirittura la perdita dei denti.
Trattamenti e cure delle gengive ritirate
In caso di gengive ritirate ti consiglio di contattare il miglior dentista a Roma prima che la patologia causi danni irreparabili restituendo nuovamente smalto e forma al tuo sorriso. Se la recessione gengivale è causa di forte ipersensibilità dentinale è necessario un intervento di chirurgia gengivale per coprire la radice dentale e proteggere i denti sensibili (l’innesto di tessuto molle).L’innesto di tessuto molle, detto anche autotrapianto di gengiva, è un trattamento molto efficace contro le gengive ritirate che permette di coprire la radice esposta e dare maggiore spessore al tessuto gengivale. Quest’intervento è finalizzato a ridurre la possibilità di un’ulteriore regressione della gengiva.
L’importanza della prevenzione
Farti seguire continuamente da un bravo dentista è una condizione necessaria per mantenere sempre in perfetto stato di salute il tuo cavo orale, ma anche tu devi seguire precise regole di prevenzione.Un’attenta pulizia dentale quotidiana è il primo passo necessario per garantire ai tuoi denti una vita lunga e duratura. Assicurati di utilizzare spazzolini con setole morbide e di spazzolare dolcemente dal dente verso la gengiva, mai al contrario o in orizzontale.
Prediligi paste dentifricie piene di fluoro ed evita di utilizzare troppo frequentemente prodotti sbiancanti che a lungo andare potrebbero aumentare la sensibilità dentinale.
Sottoponiti alla pulizia dentale presso un ottimo studio dentistico almeno una o due volte all’anno per proteggere adeguatamente l’igiene del tuo cavo orale.
Tra i rimedi casalinghi indicati per contrastare l’insorgere di gengive ritirate o altri problemi di natura dentale c’è il tè verde, ricco di proprietà antiossidanti ed antinfiammatorie. Oltre a proteggere i denti, il tè riduce notevolmente anche l’infiammazione delle gengive.
Particolarmente indicata la salvia, da consumare sotto forma di foglie fresche e secche messe a bagnomaria in acqua calda. Ti consiglio anche l’olio di cocco, noto per le sue proprietà antimicrobiche.
Potrebbe essere l’occasione buona per dire addio alla sigaretta, alleata delle gengive ritirate. Cerca di evitare alimenti zuccherati, privilegiando una dieta sana ed equilibrata a base di frutta, verdura e cibi contenenti prevalentemente vitamine e sostanze antiossidanti.
Autore

Igiene dentale e Parodontologia
Altri articoli
- Igiene orale: le regole per una bocca in salute
- Quanto spesso devo cambiare lo spazzolino da denti?
- L'importanza dell'igiene dentale quotidiana: quali sono i migliori strumenti da utilizzare?
- Spazzolino Elettrico Vs Spazzolino Manuale: quale è più efficace?
- La Pulizia dei Denti a casa funziona davvero?
- Cosa sono e come combattere le Gengive Ritirate: Cause, Sintomi e Rimedi
- Denti sensibili: cosa provoca e come si cura l'ipersensibilità dentinale
- Sanguinamento Gengivale, le cause
- Igiene dentale: le Tecniche disponibili con lo Spazzolino e Filo interdentale
- L'alito cattivo è il tuo problema? Il dentista può risolverlo!



Sei un paziente ?
Sei un dentista?
